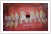
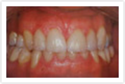
Ceramic Crowns
Applied Procedures:
Ceramic Crowns
![]() |
![]() |
| Before Photo | After Photo |
Applied Procedures:
Ceramic Crowns
![]() |
![]() |
| Before Photo | After Photo |
![]() |
![]() |
| Before Photo | After Photo |














